Make Your Smile Fresh!
내안에 있는 상큼한 미소!
체리스마일
병원소개
의료진 소개
진료시간
체리사용설명서
오시는 길
체리케어+
치아교정
임플란트
체리네이트
치아교정
23년 노하우
모두의 말씀
앞니교정
전체교정
인비절라인
포괄적 치료
재교정
교정장치
무삭제 체리네이트
24시간 빠른 치료
맞춤보철 제작
임플란트
모두의 말씀
바이콘임플란트
보험 임플란트
코골이/수면무호흡
편한숨장치
코골이개선 TIP
증례사진
치아교정
임플란트
체리네이트
체리TV
체리스마일TV
체리스마일 블로그
언론기사
네이버예약
온라인상담
신환예약
지식인Q&A
스마일위키
치아교정
행복한 미소
를
확인해보세요.
Total 48건
1 페이지
게시판 검색
증례사진 카테고리
전체
치아교정
임플란트
체리네이트
Total 48건
1 페이지
체리네이트
라미네이트
작성자
체리스마일치과
작성일
09-20
조회
1005
체리네이트
라미네이트
작성자
체리스마일치과
작성일
09-20
조회
777
체리네이트
라미네이트
작성자
체리스마일치과
작성일
09-20
조회
788
체리네이트
라미네이트
작성자
체리스마일치과
작성일
09-20
조회
401
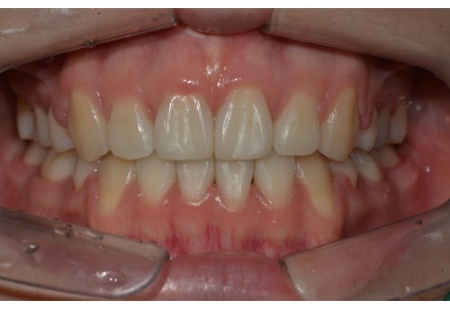
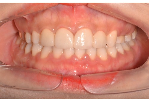
치아교정
비수술
비수술교정
작성자
체리스마일치과
작성일
09-20
조회
910
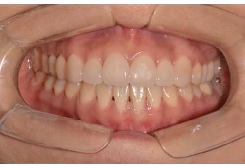
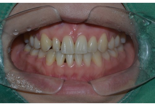
치아교정
발치
발치교정
작성자
체리스마일치과
작성일
09-20
조회
924
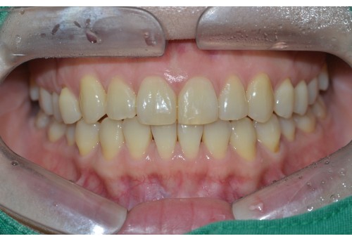
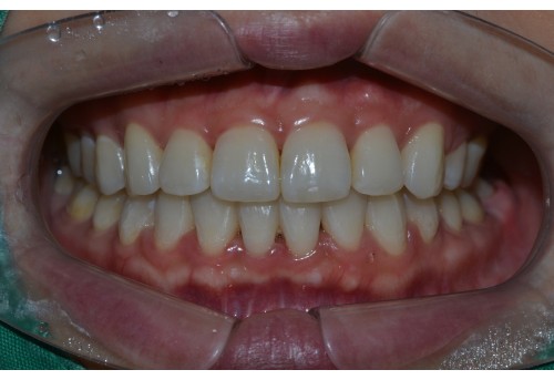
치아교정
투명교정
투명교정
작성자
체리스마일치과
작성일
09-20
조회
777
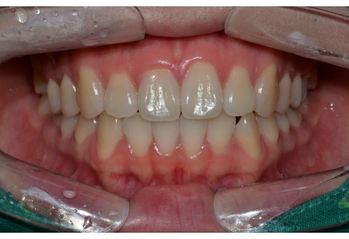
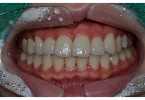
치아교정
투명교정
투명교정
작성자
체리스마일치과
작성일
09-20
조회
603
치아교정
설측교정
설측교정
작성자
체리스마일치과
작성일
09-20
조회
688
임플란트
임플란트
작성자
체리스마일치과
작성일
09-20
조회
677
치아교정
비발치
비발치교정
작성자
체리스마일치과
작성일
09-20
조회
590
체리네이트
라미네이트
작성자
체리스마일치과
작성일
09-20
조회
484
체리네이트
라미네이트
작성자
체리스마일치과
작성일
09-20
조회
418
임플란트
임플란트
작성자
체리스마일치과
작성일
09-20
조회
546
치아교정
설측교정
설측교정
작성자
체리스마일치과
작성일
09-20
조회
511
열린
1
페이지
2
페이지
3
페이지
4
페이지
맨끝
검색
검색대상
제목
내용
제목+내용
글쓴이
글쓴이(코)
검색어
필수
검색
닫기