
코골이와 수면무호흡으로
인한
수면장애,
방치하고 계시나요?
심한 코골이는 양질의 수면을 방해해 깊은 잠을 자지 못하는 원인이 됩니다.
이로 인해 회사와 학교에서 집중력이 저하되면서 업무 효율과 학습 능력이
떨어질 수 있습니다. 또한 수면무호흡은 심장마비, 고혈압,
심부전, 당뇨, 심장부정맥 등 여러 합병증을 유발할 수 있습니다.
더 이상 방치하지 마시고, 편한 숨을 위해 코골이 치료를 시작해보세요.

교정과전문의가 개발한
코골이장치로 더 편하게 치료받으세요!
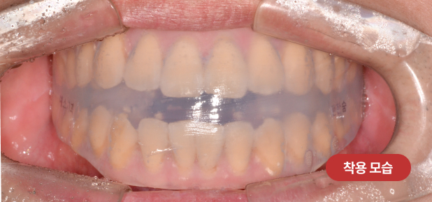
치과교정과전문의가 연구, 개발하고 특허받은 코골이 장치는
부드러운 소프트 재질로 보다 편안한 착용이 가능하며,
코골이 및 수면무호흡 완화, 피로 개선, 구호흡 개선이 가능합니다.



코골이 치료,
왜 편한숨장치일까?

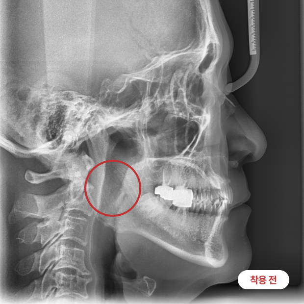
착용 전/후
넓어진 기도를
확인해보세요!
장치를 착용하면서 근기능 훈련을 함께하면 구호흡을 방지하고 비호흡을 유도하며,
아래턱이 앞으로 나와 기도가 넓어지는 효과를 경험할 수 있습니다.
이로 인해 코골이와 수면무호흡의 정도를 줄일 수 있습니다.


편한숨장치
이런 원리로 치료해요!

상악구개확장
교정으로도 가능해요!
입 천장이 좁아 코골이가 있는 경우, 상악구개확장을 통한 교정치료를 통해
혀의 위치를 정상적으로 변화시켜 코골이를 줄일 수 있습니다.

코골이치료도
교정과전문의에게
상담받아 보세요!
사람마다 코골이 수면무호흡의 증상이 다양하기 때문에 치료 전
충분한 상담과 검사가 필요할 수 있으며, 상태에 따라
구강 내 장치의 효과가 다양할 수 있습니다. 중요한 건
본인에게 맞는 치료법으로 진행하는 것입니다.